Len 14-ročné dievča si vypočulo vážnu diagnózu, ktorá sa na Slovensku u detí nelieči. Pomocnú ruku jej podala VšZP
Mama 14-ročnej dcéry sa podelila so svojím príbehom. Zriedkavá a závažná diagnóza celkom zmenila život a poprehadzovala priority celej rodiny.
03.08.2023
Aktívne tancovala, vyhrávala súťaže a žila obyčajný život tínedžerky až do momentu, keď jej po jednom z pravidelných tréningov zvláštne opuchla ruka. So zdanlivým úrazom zamierili na pohotovosť. „Po dlhšom čakaní na stanovisko lekára sme už tušili, že to nebudú dobré správy,“ priznáva dnes mama vtedy len 14-ročnej dcéry. Zriedkavá a závažná diagnóza im celkom zmenila život.
Z úst lekára si v ten deň vypočuli správu, ktorej by sa radšej vyhol každý rodič: Vaša dcéra má nádor. „Bol to pre nás šok a spracovať túto informáciu bolo aj pre mňa mimoriadne náročné. Zaťala som sa však s tým, že situáciu musíme okamžite riešiť. Vtedy sa začal náš boj,“ začína svoje rozprávanie pani Žáčiková.
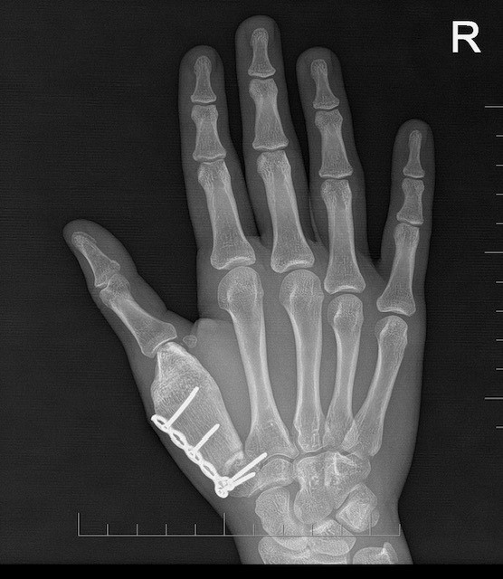
Vyšetrenia lekárov potvrdili jej dcére vážnu diagnózu zriedkavého nádoru krátkych kostí hornej končatiny s agresívnym rastom. Tento typ nádoru má nepredvídateľné správanie a môže metastázovať aj do pľúc. Zatiaľ čo rakovina kosti je závažným nádorovým ochorením, ktoré sa môže objaviť v akomkoľvek veku, s liečbou tohto typu nádoru u detí na Slovensku skúsenosti nemáme.

„Hľadali sme rôzne informácie a napokon sme zistili, že jeden z liekov, ktorý naša dcéra potrebuje, je na Slovensku schválený až od 18 rokov,“ rozpráva ďalej mama. Iná situácia je napríklad v susednom Česku, so žiadosťou o pomoc a záchranu života svojej dcéry sa preto rodičia obrátili na Kliniku detskej onkológie Fakultnej nemocnice v Brne a na Všeobecnú zdravotnú poisťovňu.
S úhradou liečby v cudzine pomohla VšZP
„Poistenke bola odporúčaná liečba v Českej republike na Klinike detskej onkológie Fakultnej nemocnice v Brne, keďže na Slovensku u detí v rámci tejto diagnózy liečba schválená nie je,“ hovorí o raritnom prípade závažnej diagnózy lekárka a podpredsedníčka predstavenstva VšZP Beata Havelková. Ďalšie vyšetrenia v Česku potvrdili obrovskobunkový nádor kostí s agresívnym rastom, kde dievčaťu hrozila dokonca amputácia ruky.
„Pri tejto diagnóze je pre pacienta každý deň dôležitý, preto bolo našou snahou reagovať na žiadosť poistenkyne v čo najkratšom čase,“ doplnila B. Havelková. Liečbu schválili do niekoľkých dní. „Pre nás a našu dcéru bola reakcia poisťovne obrovská pomoc a vynikajúca správa popri všetkom, čo sme vtedy prežívali. Dodnes sme im za to veľmi vďační,“ dodáva mama tínedžerky.

Liečba a náročná transplantácia kosti
Schválená liečba trvala niekoľko mesiacov, nasledovalo vyšetrenie ruky a na výsledky, ktoré mali rozhodnúť o ďalšom postupe, už všetci netrpezlivo čakali. „Röntgen napokon priniesol dobré správy – nádor sa zmenšil a skalcifikoval. Tým sa však náš boj s touto diagnózou neskončil. Dcéra musela podstúpiť takmer šesťhodinovú operáciu na 1. Ortopedickej klinike vo Fakultnej nemocnici u Svätej Anny v Brne, počas ktorej jej transplantovali kosť v pravej ruke. Keď som napokon videla ten malý palček pravej ruky, ktorý vytŕčal spod sadry, vydýchla som si. Dcéra o ruku neprišla,“ spomína si na tieto dni jej mama.
Transplantovanú kosť telo jej dcéry napokon prijalo a začala sa postupne zrastať, mama hovorí priam o zázraku. „Dcéra bola po transplantácii nesvoja, ustráchaná, bolo jej ťažko a nevoľno. V škole niekoľkokrát vracala, cítila smútok. Palec na pravej ruke stratil v kĺbe ohybnosť, po chemoterapiách bola veľmi oslabená a bojovali sme aj s komplikáciou, že dostala rotavírusovú infekciu, kvôli ktorej jej zlyhávali obličky a musela byť opäť hospitalizovaná. Postupne však prišli lepšie výsledky a lepšie dni,“ dodáva.

S pokorou a vďačnosťou
Ako sa majú dnes? Zachovávajú si pokoru a čakajú, ako sa situácia vyvinie a či sa kosť zrastie úplne. Mamina priznáva, že ich táto diagnóza zmenila. „Prehodnotili sme svoje priority a dcéra mi hovorí o tom, že chce byť hlavne šťastná a spokojná. Chceme zostať pozitívni, zároveň však s pokorou a vďačnosťou lekárom v Brne a VšZP za to, že našej dcére dokázali tak rýchlo pomôcť a že aj vďaka nim môžeme bojovať ďalej. Poisťovňa nám schválenú liečbu predĺžila, dcéra začala opäť trochu cvičiť aj tancovať. Držíme sa a na jeseň uvidíme, čo ďalej,“ hovorí mama dnes už 16-ročnej dcéry, ktorá sa na záver rozhovoru podelila ešte o príhodu.
Keď nadácia Zlatá rybka v Česku plniaca priania deťom s onkologickými ochoreniami v ohrození života, chcela splniť jedno prianie aj jej dcére.
„Ľudia z nadácie prišli za ňou, keď bola v nemocnici a ponúkli jej, že jej splnia akékoľvek prianie. Ona chvíľu rozmýšľala a viete, čo napokon povedala? Aby to jej prianie dali lekárom ortopédovi Michalovi Mahdalovi a primárovi Kliniky detskej onkológie v Brne Petrovi Múdremu, ktorí jej už plnia priania svojou pomocou a starostlivosťou. Veľmi ma to dojalo a za to, ako to všetko zvláda, som na ňu veľmi hrdá,“ uzavrela Žáčiková.